강아지 심장병 증상 강아지 심장 비대증 증상 원인 치료방법
- 카테고리 없음
- 2023. 6. 18. 14:44
안녕하세요 오늘은 강아지 심장병 증상에 대해 알려드리려고 합니다.
글을 잘 보시고 우리 강아지가 해당되는지 잘 지켜봐 주세요 ㅎㅎ

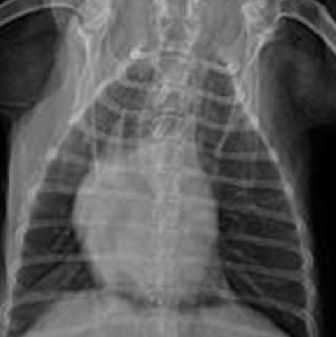
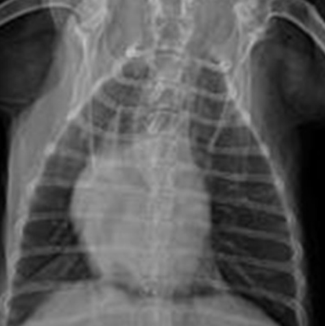
강아지 심장병
심장은 근육으로 이루어져 1분에 120회 수축 이완을 반복하는 장기입니다.
혈액의 흐름을 조절하며 신체 전반에 혈액을 공급하는 중요한 역할을 합니다.
보통 강아지 심장병의 경우 소형견에서 많은 질환이라
소형견을 많이 키우는 우리나라에
강아지 심장병을 가진 아이들이 많습니다.
심장병의 경우 동물병원 선생님들이야 간단한 청진만으로도
심장병의 유무를 알 수 있습니다만
저희는 전문가가 아니기에~ 여러분들이 심장병을 조기에 발견하고
병원에 데려가기 위해선 심장병의 특징들을 알고 계셔야 합니다.
첫 째

강아지가 잠을 잘 때 호흡 수의 증가
강아지 심장병 증상에서 가장 눈여겨 봐야하는 증상으로
심장병이 심해질 경우 폐 쪽으로 압력이 걸리면서
폐수종이 유발될 수 있습니다.
초기에는 호흡수가 빨라지게 되는데 단순 흥분 시에도 호흡수가 빨라지니 흥분한 건지
진짜 호흡이 빠른 건지 구별이 필요합니다.
그래서 잘 때 호흡수를 측정하여 미리 알아두는 것이 좋습니다.
보통 정상은 1분에 30회이하라고 합니다.
둘째
기침 증상
심장병 대표 증상으로 보통 기침하는 애기들을 데리고
병원에 많이 데려가시는데 기침을 하는 경우 심장병 진단을 많이 받는다고 합니다.
심장병이 기침을 유발하는 이유는 심장병으로 심장이 점점 커져서
기도를 눌러서 기침을 하게 되는데 문제는 기침을 할 정도면
심장병이 많이 진행된 상태가 많아서 빨리 치료를 받아야 하고 요새는
심장이 많이 커지기 전부터 커지지 않도록 관리하는 것인데
기침을 유발할 정도의 심장병이라면 3단계 이상이라 빨리 치료를 받아야 한다고 합니다.
셋째
청색증
정말 심각한 상황으로 심장병은 폐수종이 진행될수록 호흡곤란을 유발하여
산소 공급이 안돼서 혀 색이 파래지는 청색증이 올 수 있습니다.
그렇게 되면 몇 시간 안에도 사망할 수 있는 응급상황이니 산소 공급을 직접 해주 면서 바로 병원으로 가야 합니다.
청색증 구별은 평소 아이의 정상 적인 혀 색과 청색증 일 때의 혀색이
크게 다르니 빠르게 확인하실 수 있습니다.
청색증의 경우 빠른 확인과 동물병원으로 가는 것입니다.
넷째
강아지 복수
강아지가 복수가 차는 이유는 다양하지만
심장병으로 인하여 복수가 생길 수도 있습니다.
우심장 쪽에 문제가 있는 경우
혈류에 장애가 생기면서
간에 울혈이 생겨 복수가 생기게 되며
치료를 늦게 할 경우 사망할 수 있는 단계입니다.
다섯째
활력 저하
강아지 심장병의 경우 보통 나이가 들면서 생기게 되는데
그냥 나이 들어서 활력이 떨어져서 산책을 안 가려고 하는 것인지
문제가 있어 그런 것인지 구별하기 어렵습니다.
심장병이 있는 아이들은 조금만 뛰어도 호흡이 빨라지거나 빨리 지치게 됩니다.
이런 경우 혹시 모르니 병원에 방문하여 건강검진을 한번 받아보시길 바랍니다.
여섯 번째
기절을 한다.
심장병에 의해 혈류에 장애가 생기면서 힘 없이 쓰러지는 증상을 보일 수 있습니다.
주인이 집에 돌아와서 반가운 마음에 과하게 흥분을 하다가 증상을 보일 수 있어서
아이가 흥분하는 상황을 최소화해야 합니다.
강아지들의 심장병 원인은 딱 한 가지다라고 할 수 없고
노화나 비만, 품종, 영양상태나 심장사상충 또한 원인이 될 수 있습니다.
선천적으로 심장에 기형이나 결함으로 발생할 수 있고
후천적으로 발생하는 경우에 심장의 마모로 인한 노령견에서 가장 흔합니다.
조기에 발견하기 위해서는 주기적인 청진이 중요하며
선천적으로 알아보고 싶을 때는 3~6개월 되었을 때 청진을 받습니다.
노령견의 경우 심장병의 위험도가 높아져서
심장 청진을 연 2회 정도 받는 게 좋은 방법입니다.
앞서 말했듯이 간단한 심장 청진으로 조기 진단이 가능하며
심장에 잡음이 들린다면 혈액검사와 심장 초음파 등 추가 검사를 진행하여
정확한 진단이 가능하게 됩니다.
강아지가 많이 피곤해 보이거나 걷기 활동 감소, 호흡곤란, 식욕부진, 복부팽창, 기침 등등 증상이 있다면
수의사 진찰을 받아보셔요 ㅎㅎ
이상으로 강아지 심장병에 대한 포스팅을 마치겠습니다!